CELLvo™ Human Bone Marrow Mesenchymal Stem Cells
CELLvo™ Human Bone Marrow Mesenchymal Stem Cells
from $895.54
>1,000,000 cryopreserved cells (Passage 2)
Passage #:
Add Matrix:
Quantity:
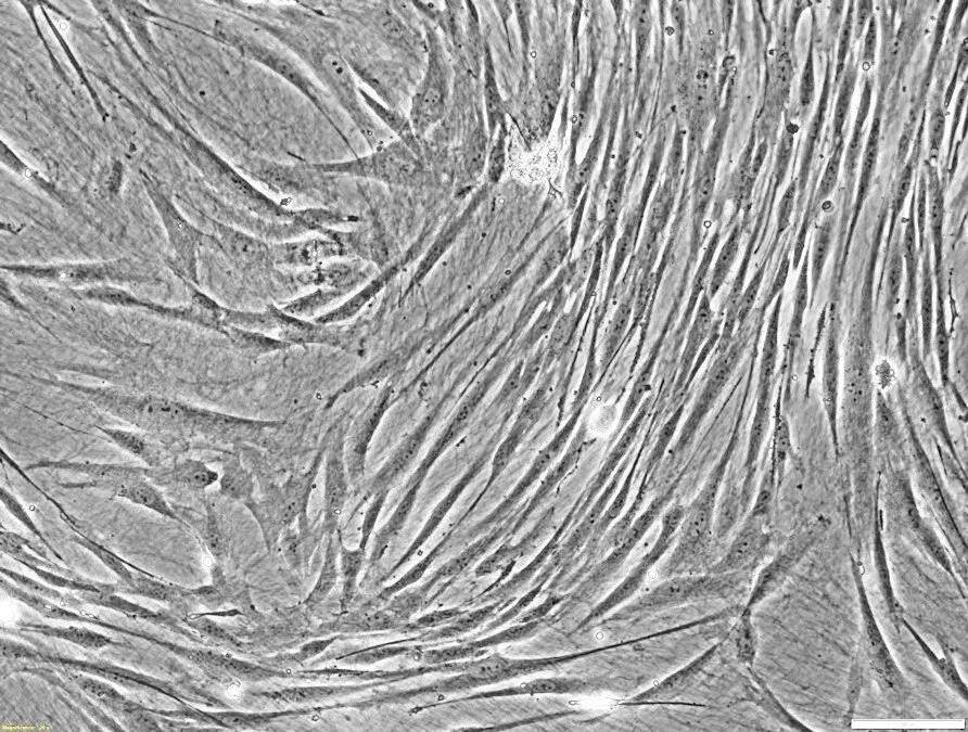
Description: CELLvo™ hBM-MSCs have been isolated and cultured under xeno-free conditions on the CELLvo™ XF Matrix. These cells proliferate more quickly, have a smaller cell size and show a higher percentage of SSEA4 (+) cells as compared to BM-MSCs isolated and cultured on other substrates.
Download a copy of Instructions for Use of CELLvo™ Human Mesenchymal Stem Cells.
For Research Use Only. Not intended for for diagnostic or therapeutic applications.
To make purchases outside the USA, click here.

